تتكشف يوماً بعد يوم معلومات طبية صادمة عن طبيعة فيروس كورونا ومتحوارته وكيفية تأثيرها على أجسامنا وتحديداً جهاز المناعة لدينا.
فقد كشف دراسة جديدة أن الفيروس قادر على التلاعب بجهاز المناعة لدينا وجعله بطريقة ما يهاجم نفسه، وفق دراسة حديثة نشرها موقع Science Alert العلمي.
مادة اعلانية
وأجريت الدراسة على حالة لمريض أميركي أصيب بالفيروس وفقد الرؤية في عينه اليمنى لمدة يومين عقب شفائه منه، ما أثار العديد من التساؤلات.
فقدان للرؤية وصداعفي التفاصيل، كشف تقرير من قبل فريق من الأطباء من كلية الأطباء والجراحين بجامعة كولومبيا في نيويورك، تعافي الرجل من الفيروس، لكنه أصيب بصداع بعد أسبوع.
وسرعان ما تبع ذلك تلاشي الرؤية في عينه اليمنى، لدرجة أنه لم يكن بإمكانه سوى القيام بحركات محددة، وأي حركة تتم بهذه العين تسببت أيضاً في ألم شديد.
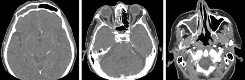
إلى ذلك، كشف التصوير المقطعي أن مصدر معاناة المريض هو التهاب الجيوب الأنفية الذي يمتد إلى الجانب الأيمن من وجهه.
من موقع سيانس أليرت
وكانت الحالة خطيرة للغاية، حيث تسببت في تآكل العظم نفسه، ما استلزم إجراءً طارئاً لإزالة أكبر قدر ممكن من المادة الملتهبة من كل تجويف.
إلا أن الجراحة بدت وكأنها استراتيجية ناجحة في البداية، لكن سرعان ما عاد الألم وتفاقمت حالة الرؤية لديه مرة أخرى.
وأظهرت فحوص الأنسجة وجود بكتيريا تسمى Streptococcus constellatus. وعادة تكون هذه البكتيريا الجيدة في الأمعاء وتجويف الفم، إلا أنها تتحول إلى سيئة عند نقلها إلى مناطق أخرى من الجسم.
صور مقطعية للدماغ (آيستوك)
كذلك، كشف المزيد من الفحوص عن انتشار نوع نشط من خلايا الدم البيضاء، وهو نوع ينتج عادة جسماً مضاداً صغيراً غريباً يسمى IgG4.
واشتهر هذا النوع بالتسبب في سلسلة من المشكلات الخاصة به من خلال الأمراض المرتبطة بالمناعة الذاتية والتي يمكن أن تصيب أي جزء من الجسم تقريبا، ما يؤدي إلى حدوث الالتهابات والتسبب في كل أنواع الألم.
وتوصلت الدراسة إلى أن كوفيد 19، هو عادة العقل المدبر عندما يتعلق الأمر بالعبث باستجابتنا المناعية.
ومع ذلك، أوضحت أنه من السابق لأوانه استخلاص أي استنتاجات قوية بين المرضين، خصوصاً مع وجود العديد من الحالات في متناول اليد والتي لازالت قيد الدراسة.



