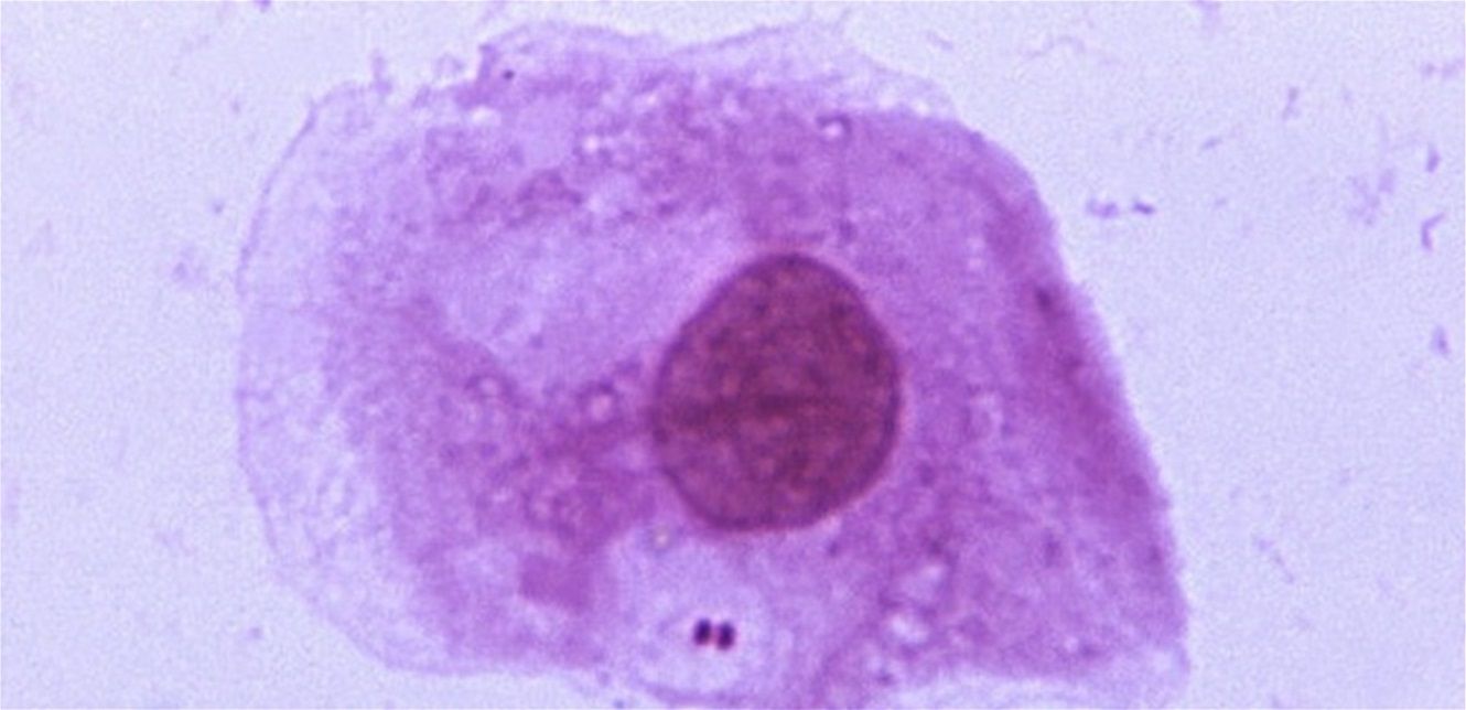
وقال البيان إنه كان قد تم الإبلاغ عن 27 حالة إصابة بمرض المكورات السحائية، الناجم عن بكتيريا تسمى النيسرية السحائية من سلالة Y، في شرق ووسط وجنوب غرب فرجينيا منذ حزيران 2022، وقد توفي 5 منهم بسبب مضاعفات المرض الذي وصفته بأنه "نادر ولكنه خطير".
Advertisement
وأشار البيان إلى أن عدد الإصابات يمثل 3 أضعاف العدد المتوقع للحالات خلال هذه الفترة الزمنية.
ومعظم المرضى المسجلين في الحالات الجديدة هم من البالغين من أصل أفريقي، وتتراوح أعمارهم بين 30 إلى 60 عاما. وقد تم تطعيم شخص واحد فقط ضد سلالة Y من بين 27 حالة.
وذكر البيان أن السلالة تنتشر على نطاق واسع في الولايات المتحدة، لكن المخاطر التي يتعرض لها سكان فرجينيا "منخفضة".
وينتقل المرض عن طريق إفرازات الجهاز التنفسي بواسطة التقبيل أو السعال أو العطس مباشرة في وجه الآخرين، أو مشاركة الأكواب وزجاجات المياه وأواني الطعام والسجائر.
ويمكن أن تؤدي هذه البكتريا إلى التهاب السحايا، وهو نوع من العدوى والالتهاب، يصيبان السائل والأغشية المحيطة بالمخ والحبل النخاغي، المسماة بالسحايا. وتتسبب أيضا بتسمم الدم. (الحرة)



