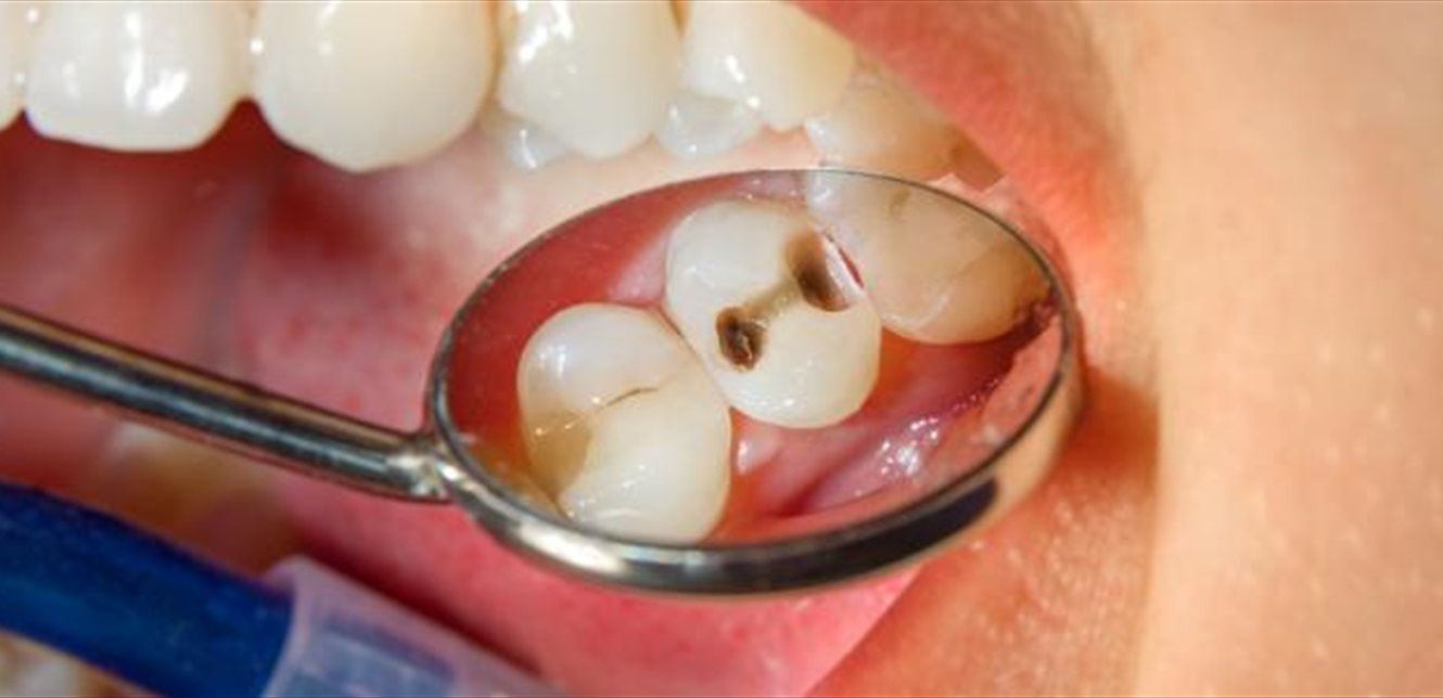
قال طبيب الأسنان أرتور توماشيفيتش إن شرب الصودا عبر قشة يلحق ضررا بجسم الأسنان.
وأوضح أن الأسطورة الشائعة القائلة بأنه يمكنك شرب الصودا الحلوة من خلال قشة بدون إلحاق إضرار بأسنانك ليست صحيحة.
وقال أرتور توماشيفيتش:" إذا شربنا من خلال القشة فإننا نخفف الضغط على سطح السن، لكن لا نحمي السطح الداخلي للأسنان على الإطلاق".
وأشار طبيب الأسنان إلى تشكل تأثير آخر، وهو تدفق الحمض من المعدة إلى تجويف الفم، حيث يصاب سطح السن، ويتحلل ثم يزداد سوءا.
وقالت عالمة الأحياء ناتاليا كولمان في مقابلة مع قناة "360" التلفزيونية إن تناول المشروبات الغازية والعصائر التي يتم شراؤها من المتاجر يمكن أن يُضعف جهاز مناعة الإنسان، ويزداد خطر ذلك بصورة خاصة في فصل الخريف.
وقالت طبيبة الأسنان فيرونيكا ميليكوفا في حديث أدلت به لبوابة Life.ru إن العلكة يجب أن تُمضغ فقط بعد تناول الوجبات ولمدة لا تزيد عن 15 دقيقة، لأنه خلال هذه الفترة فقط تكون العلكة مفيدة. ويساعد مضغ العلكة، حسب الطبيبة، على إزالة بقايا الطعام وتحفيز إنتاج اللعاب لدى الإنسان.( وكالات)



