شارك طبيب في سانت لويس صوراً بالأشعة السينية توضح أهمية الحصول على اللقاحات المضادة لفيروس كورونا، حيث إن ذلك يؤثر في مدى تأثر رئتي المريض بحدة الفيروس.
الدكتور غسان كامل، مدير وحدة العناية المركزة في مستشفى جامعة "سانت لويس" في ميسوري بأميركا، أكد أن معظم مرضاه لم يحصلوا بعد على اللقاحات اللازمة للحماية، وفقاً لصحيفة "أندبندنت" Independent البريطانية.
مادة اعلانية
وأشار الدكتور كامل بالقول: "نرى مصابين مرضى للغاية".
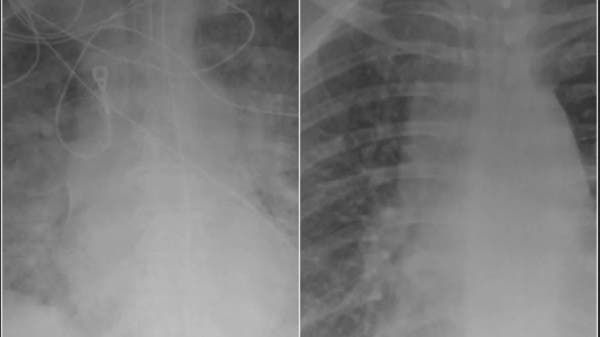
وتظهر صورتان بالأشعة السينية التأثيرات المختلفة للفيروس على الرئتين بين شخصين مصابين بكوفيد-19، ولكن واحدة تعود لشخص تم تطعيمه بلقاح مضاد لفيروس كورونا، والثانية ترتبط بمريض لم يتلقَ اللقاح.
رئتا مريض كورونا لم يتلق اللقاح
وأوضح الدكتور كامل أن اللون الأبيض الذي نراه في رئتي الشخص غير الملقح هو الضرر الذي يسببه الفيروس. وقد يكون ذلك عبارة عن بكتيريا أو مخاط أو إفرازات، مؤكداً أن المريض غير الملقح الذي شوهد في صورة الأشعة السينية يحتاج على الأرجح إلى رعاية كبيرة.
وبحسب تقرير الصحيفة، فمن المؤكد أن ذلك المريض سيحتاج على الأقل إلى الأكسجين وأحياناً قد يحتاج إلى أكثر من ذلك. وقال كامل: "قد يحتاج هؤلاء المرضى إلى جهاز التنفس الصناعي أو التهوية الميكانيكية والتخدير ودعم الحياة بشكل أساسي". وأضاف أن الرئة السليمة المليئة بالهواء تحتوي على مناطق سوداء أكثر في صور الأشعة السينية.
رئتا مريض كورونا تلقى اللقاح
وتعد صورة الأشعة السينية للشخص الذي تم تطعيمه والمصاب بفيروس كورونا حالة اختراق نادرة، فقد أصيب أقل من 1% من الأشخاص الذين تم تلقيحهم، وأولئك الذين يصابون في أغلب الأحيان لديهم أعراض خفيفة وقد لا يحتاجون للذهاب إلى المستشفى. ولا يعاني البعض من أي أعراض أو قد يشعرون وكأنهم مصابون بنزلة برد عادية.
وأوضح كامل أن معظم الذين يتم تطعيمهم وينتهي بهم الأمر بالذهاب إلى المستشفى لا يحتاجون إلى نقلهم إلى وحدة العناية المركزة أو وضع أجهزة الإنعاش، لكن الاستثناءات تشمل أولئك الذين لديهم أمراض موجودة مسبقاً أو الذين يعانون من نقص المناعة.
وأصدرت مراكز السيطرة على الأمراض والوقاية منها بيانات جديدة يوم الجمعة تظهر أن أولئك الذين تم تطعيمهم يمكن أن ينشروا المرض بسهولة مثل غير الملقحين، رغم كونهم في مأمن من مخاطر الإصابة بأعراض خطيرة.
وأظهر إحصاء لـ"رويترز" أن أكثر من 199.19 مليون نسمة أصيبوا بفيروس كورونا المستجد على مستوى العالم، في حين وصل إجمالي عدد الوفيات الناتجة عن الفيروس إلى أربعة ملايين و399,988.
وتم تسجيل إصابات بالفيروس في أكثر من 210 دول ومناطق منذ اكتشاف أولى حالات الإصابة في الصين في ديسمبر 2019.



